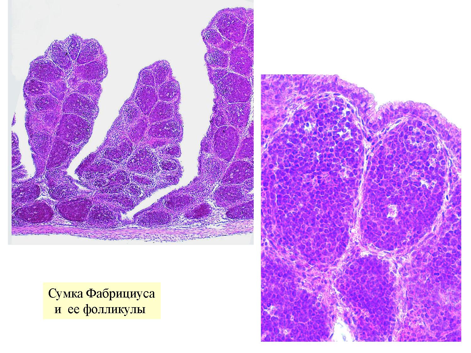
Органы кровотворения и имунной защиты
Органы кровотворения и имунной защиты

Аннотация:

Семестровый курс электронных лекций по функциональной морфологии органов и систем, читается студентам четвертого курса ФЕН и студентам МФ 3-го года обучения. Каждая из предлагаемых тем имеет различную продолжительность, поэтому автор представляет весь материал семестра в логической последовательности, не разделяя на отдельные лекционные часы. В курс включены все системы организма млекопитающих.

Курс рзработан в рамках реализации Программы развития НИУ - НГУ Весь материал подготовлен д.б.н. профессором - гистологом кафедры физиологии М.С. Виноградовой.

Загружено: 06.12.2021
Доступно бесплатно

Зарегистрируйтесь до 30 апреля и получите бесплатный доступ навсегда

Бесплатный доступ к библиотеке

Более 13 000 пособий

Бесплатные занятия с репетитором

Проект Дефектология Проф


Пример содержимого:

Для скачивания пожалуйста авторизуйтесь
Всего листов: 44
  Вся информация взята из открытых источников.
Посмотреть источник: https://vk.com/kognitivnaja_nauka?w=wall-74058720_1605
Если вы считаете, что ваши авторские права нарушены, пожалуйста, напишите в чате на этом сайте, приложив скан документа подтверждающего ваше право.
Мы убедимся в этом и сразу снимем публикацию.

Скидки и акции

В разделе собраны все акции и скидки. Следите за нашими предложениями!

При партнёрстве с Московским педагогическим государственным университетом
Свидетельство о регистрации СМИ Эл №ФС77-67907 от 06.12.2016 г.
При государственной поддержке институтов России
Регистрационный номер лицензии института Л035-01298-77/00181770
Свидетельство о государственной регистрации Института
Внесение сведений в ФРДО РФ
Свидетельство о постановке на учет Российской организации
Система добровольной сертификации